Jadwal Buka : Setiap Hari Pagi: 06.00 - 13.00, Siang: 14.00 - 20.00

0263 513513

ARTIKEL

Beranda / Artikel

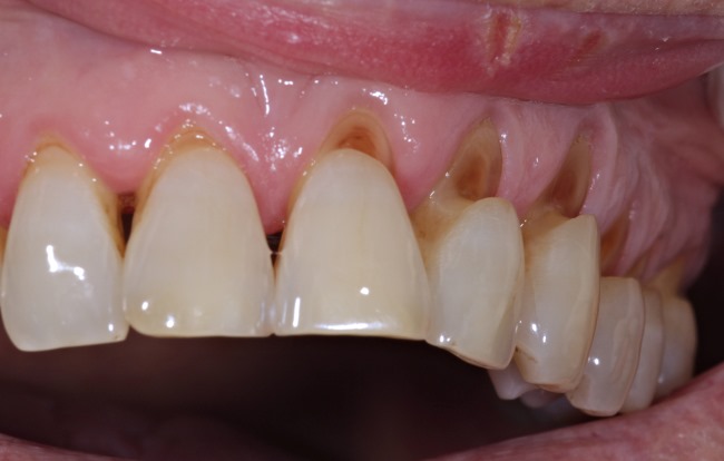
Abrasi Gigi: Saat Kebiasaan Menyikat Gigi Justru Merusak Gigimu.

Klinik Gigi - 29 Jul 2025 Oleh Diaz

Hai Fam! Kalau kamu sering merasa gigi terasa lebih sensitif, cepat aus, atau bahkan muncul garis-garis halus di permukaan gigi, mungkin ada yang perlu kamu waspadai. Salah satu hal yang sering dialami tapi jarang disadari adalah abrasi gigi. Nah, di artikel kali ini, kita bakal bahas tentang apa itu abrasi gigi dan kenapa kebiasaan menyikat gigi yang kurang tepat justru bisa merusak gigimu. Jadi, simak baik-baik, ya!

Pertama-tama, kita harus tahu dulu apa sih sebenarnya abrasi gigi itu. Secara sederhana, abrasi gigi adalah kerusakan pada permukaan enamel gigi yang disebabkan oleh gesekan atau goresan berulang. Kalau diibaratkan, permukaan gigi itu seperti lapisan pelindung yang sangat keras, tapi juga bisa terkikis kalau kita nggak hati-hati. Nah, penyebab utama dari abrasi ini

Baca Selengkapnya

Fakta Karang Gigi: Penyebab, Bahaya, dan Cara Membersihkannya di Klinik

Klinik Gigi - 29 Jul 2025 Oleh Diaz

Hai Fam! Kalau kamu pernah merasa nggak nyaman saat menyikat gigi, atau merasa gigi terasa kasar dan berwarna kuning kecoklatan, bisa jadi itu tanda karang gigi yang menempel di permukaan gigi. Nah, kali ini kita akan ngobrol santai tentang fakta karang gigi, penyebabnya apa aja, bahaya yang bisa timbul, dan gimana sih cara membersihkannya secara profesional di klinik. Jadi, simak baik-baik ya, karena menjaga kesehatan mulut itu penting banget buat kesehatan tubuh secara keseluruhan.

Pertama-tama, apa sih sebenarnya karang gigi itu? Secara sederhana, karang gigi atau kalkulus gigi adalah penumpukan plak yang mengeras di permukaan gigi karena tidak dibersihkan secara rutin dan sempurna. Plak sendiri adalah lapisan lengket yang terbentuk dari sisa makanan, bakteri, dan saliva di m

Baca Selengkapnya

Mengatasi Gigi Ngilu dan Sensitif: Penyebab dan Solusi Efektifnya.

Klinik Gigi - 29 Jul 2025 Oleh Diaz

Hai Fam! Pasti pernah kan mengalami gigi ngilu atau sensitif yang bikin nggak nyaman, bahkan kadang sampai bikin kita nggak mau makan makanan favorit yang dingin atau panas? Kalau iya, kamu nggak sendiri. Banyak orang mengalami masalah gigi sensitif ini, dan sebenarnya penyebabnya bisa beragam. Nah, di artikel kali ini, kita bakal bahas tentang penyebab gigi sensitif dan solusi efektif yang bisa kamu coba supaya gigimu kembali sehat dan nyaman. Jadi, simak terus ya!

Pertama-tama, penting banget buat kamu tahu bahwa gigi ngilu dan sensitif itu sebenarnya adalah reaksi dari lapisan dentin yang terbuka. Dentin ini adalah lapisan di bawah enamel gigi, yang berisi saluran kecil yang menghubungkan ke saraf di dalam gigi. Saat lapisan enamel yang melindungi gigi menipis atau mengalami

Baca Selengkapnya

Gusi Sering Berdarah Saat Sikat Gigi? Waspadai 4 Penyakit Ini

Klinik Gigi - 29 Jul 2025 Oleh Diaz

Hai Fam! Kalau lagi sikat gigi, terus gusi kamu sering berdarah, pasti bikin panik dan bingung sendiri, ya. Jangan diabaikan begitu saja, karena gusi yang sering berdarah saat sikat gigi itu bisa jadi pertanda ada masalah kesehatan gigi dan mulut yang perlu banget kamu waspadai. Nah, di artikel kali ini, kita bakal bahas tentang empat penyakit utama yang biasanya menjadi penyebab gusi sering berdarah dan apa aja langkah yang bisa kamu lakukan supaya kondisi ini nggak makin parah. Jadi, simak baik-baik, ya!

Pertama-tama, penting banget buat kamu tahu bahwa gusi yang berdarah saat sikat gigi sebenarnya nggak normal. Kalau hal ini terjadi secara rutin, itu artinya ada sesuatu yang nggak beres di kesehatan mulut kamu. Banyak orang mikir, “Ah, ini cuma karena sikat terlalu kera

Baca Selengkapnya